ID#: 17524
Caption:
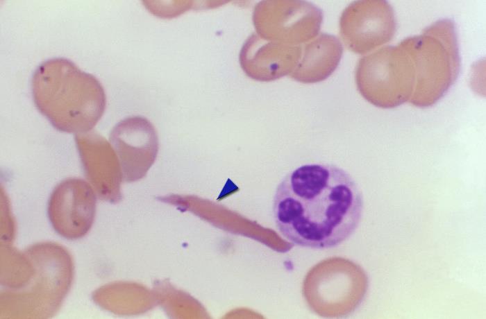
Under a magnification of 1000X, this photomicrograph revealed the presence of a deformed red blood cell (RBC), or erythrocyte (arrowhead), which had taken on a deformed, flattened appearance, unlike the rounded, biconcave appearance assumed by normal RBCs. This morphologic malformation is more commonly known as sickle cell disease (SCD), and is due to a genetic abnormality.
High Resolution: Click here for hi-resolution image (18.35 MB)
Content Provider(s): CDC/ Dr. F. Gilbert
Creation Date: 1972
Photo Credit:
Links:
Categories:
CDC Organization
Skip Navigation Links.

MeSH
Skip Navigation Links.
Copyright Restrictions: None - This image is in the public domain and thus free of any copyright restrictions.