ID#: 18909
Caption:
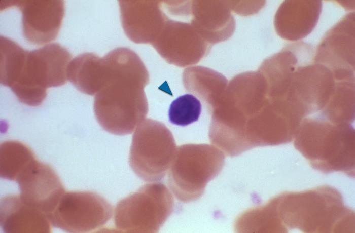
Under a magnification of 1000X, this photomicrograph of a blood smear, revealed the presence of a leukocyte, or white blood cell (WBC), specifically known as a lymphocyte (arrowhead). This WBC was surrounded by numbers of normal red blood cells (RBCs), also referred to as erythrocytes.
High Resolution: Click here for hi-resolution image (18.35 MB)
Content Provider(s): CDC/ Dr. F. Gilbert
Creation Date: 1972
Photo Credit:
Links:
Categories:
CDC Organization
Skip Navigation Links.

MeSH
Skip Navigation Links.
Copyright Restrictions: None - This image is in the public domain and thus free of any copyright restrictions.