ID#: 19475
Caption:
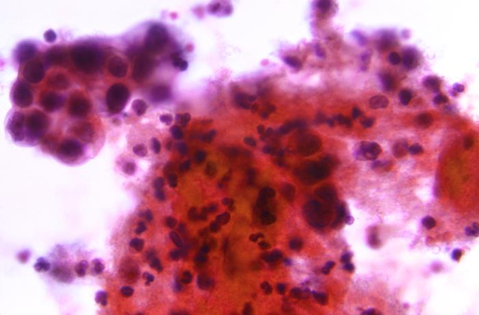
This photomicrograph of a Papanicolaou test, or Pap test, revealed findings indicative of a positive result for the presence of uterine cervical adenocarcinoma, classified as Stage-III.
High Resolution: Click here for hi-resolution image (18.35 MB)
Content Provider(s): CDC
Creation Date:
Photo Credit:
Links:
Categories:
CDC Organization
Skip Navigation Links.

MeSH
Skip Navigation Links.
Copyright Restrictions: None - This image is in the public domain and thus free of any copyright restrictions.