ID#: 21253
Caption:
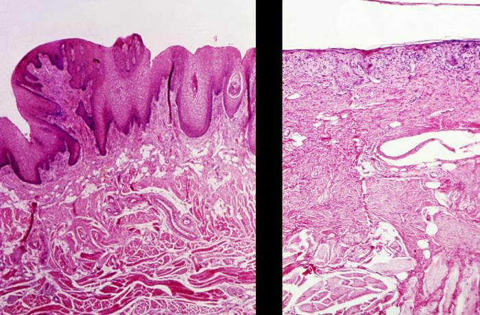
This composite of two photomicrographs, compared the cytoarchitectural differences between a normal section of tongue tissue on the left, to a tongue tissue specimen harvested from a pellagra patient. Note the robust appearance of the normal tongue’s superficial layer of stratified squamous epithelium on the left, as compared to the atrophy of the epithelial layer, and disappearance of the tongue’s papillae on the right, due to the vitamin B3 deficiency.
High Resolution: Click here for hi-resolution image (18.35 MB)
Content Provider(s): CDC
Creation Date:
Photo Credit:
Links:
Categories:
CDC Organization
Skip Navigation Links.

MeSH
Skip Navigation Links.
Copyright Restrictions: None - This image is in the public domain and thus free of any copyright restrictions.