ID#: 29088
Caption:
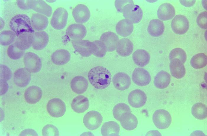
Under a magnification of 1125X, this thin film blood smear photomicrograph, highlighted the presence of a growing, Plasmodium vivax trophozoite which displayed Schüffner’s dots.
High Resolution: Click here for hi-resolution image (24.31 MB)
Content Provider(s): CDC/ Dr. Mae Melvin
Creation Date: 1965
Photo Credit:
Links:
Categories:
CDC Organization
Skip Navigation Links.

MeSH
Skip Navigation Links.
Copyright Restrictions: None - This image is in the public domain and thus free of any copyright restrictions.