Skip directly to site content
An official website of the United States government

Official websites use .gov

A .gov website belongs to an official government organization in the United States.

Secure .gov websites use HTTPS

A lock ( ) or https:// means you've safely connected to the .gov website. Share sensitive information only on official, secure websites.

Centers for Disease Control and Prevention. CDC twenty four seven. Saving Lives, Protecting People CDC Logo CDC Logo
Public Health Image Library (PHIL)

PHIL Home

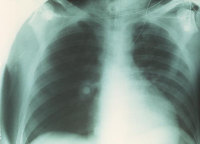
ID#: 4342
Caption:
This anteroposterior (AP) x-ray was captured during the resolution phase of a plague infection, revealing the clearing which took place in both lung fields.
High Resolution: Click here for hi-resolution image (8.02 MB)
Content Provider(s): CDC/ Dr. Jack Poland
Creation Date: 1975
Photo Credit:
Links:
Categories:
CDC Organization
Skip Navigation Links.

MeSH
Skip Navigation Links.
Analytical, Diagnostic and Therapeutic Techniques and Equipment
Diagnosis
Diagnostic Techniques and Procedures
Diagnostic Imaging
Radiography
Pneumoradiography
Radiography, Thoracic
Equipment and Supplies
X-Ray Film
Anatomy
Respiratory System
Lung
Diseases
Bacterial Infections and Mycoses
Bacterial Infections
Gram-Negative Bacterial Infections
Enterobacteriaceae Infections
Yersinia Infections
Plague
Organisms
Bacteria
Gram-Negative Bacteria
Gram-Negative Facultatively Anaerobic Rods
Enterobacteriaceae
Yersinia
Yersinia pestis
Proteobacteria
Gammaproteobacteria
Enterobacteriaceae
Yersinia
Yersinia pestis
Physical Sciences
Natural Sciences
Physics
Radiation
Radiation, Ionizing
X-Rays
Copyright Restrictions: None - This image is in the public domain and thus free of any copyright restrictions.
PHIL Home

  •   My Pictures
  • What's New in PHIL
  • Specific Audience plus icon
    • Health Care Providers
    • Public Relations / Communications
    • Teachers & Trainers
    • Students
    • Photo Librarians & Researchers
    • Public Health Practitioners
    • Biomedical Researchers
    • Consumers
  • FAQs
  • Related Links
  • Contact Us
  • About
Search Links
  • Quick Search
  • Image ID Search
  • Advanced Search
  • Search Tips
Social_govd Get Email Updates

To receive email updates about this page, enter your email address:

What's this?
  • About CDC
  • Contact Us
  • 800-232-4636
Facebook Twitter Instagram LinkedIn Youtube Pinterest Snapchat RSS
  • Contact Us
    Call 800-232-4636
    Email Us
    • About CDC
    • Jobs
    • Funding
    • Accessibility
    • External Links
    • Privacy
    • Web Policies
    • FOIA
    • OIG
    • No Fear Act
    • Nondiscrimination
    • Vulnerability Disclosure Policy
    • CDC Archive
    • Public Health Publications
    • HHS.gov
    • USA.gov
    • Facebook
    • Twitter
    • Instagram
    • LinkedIn
    • Youtube
    • Pinterest
    • Snapchat
    • Email
    • Español
    • 繁體中文
    • Tiếng Việt
    • 한국어
    • Tagalog
    • Русский
    • العربية
    • Kreyòl Ayisyen
    • Français
    • Polski
    • Português
    • Italiano
    • Deutsch
    • 日本語
    • فارسی
    • English
  • Accessibility
  • External Links
  • Privacy
  • Web Policies
  • FOIA
  • OIG
  • No Fear Act
  • Nondiscrimination
  • Vulnerability Disclosure Policy
  • CDC Archive
  • Public Health Publications
  • HHS.gov
  • USA.gov