ID#: 12082
Caption:
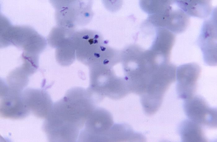
Magnified 1125X, this thin film blood smear photomicrograph, revealed the presence of a number of Plasmodium vivax free merozoites, which had been liberated from the confines of their occupied erythrocyte (red blood cell).
High Resolution: Click here for hi-resolution image (17.97 MB)
Content Provider(s): CDC/ Dr. Mae Melvin
Creation Date: 1965
Photo Credit:
Links:
Categories:
CDC Organization
Skip Navigation Links.

MeSH
Skip Navigation Links.
Copyright Restrictions: None - This image is in the public domain and thus free of any copyright restrictions.