Skip directly to site content
An official website of the United States government

Official websites use .gov

A .gov website belongs to an official government organization in the United States.

Secure .gov websites use HTTPS

A lock ( ) or https:// means you've safely connected to the .gov website. Share sensitive information only on official, secure websites.

Centers for Disease Control and Prevention. CDC twenty four seven. Saving Lives, Protecting People CDC Logo CDC Logo
Public Health Image Library (PHIL)

PHIL Home

ID#: 16367
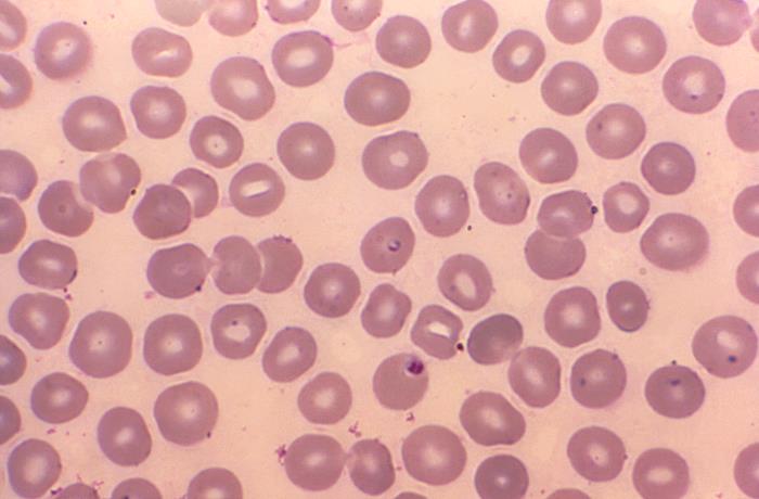
Caption:
This photomicrograph of a Giemsa-stained human blood sample, revealed the presence of Babesia microti parasites.
High Resolution: Click here for hi-resolution image (18.35 MB)
Content Provider(s): CDC/ Dr. George R. Healy
Creation Date: 1977
Photo Credit:
Links:
Categories:
CDC Organization
Skip Navigation Links.

MeSH
Skip Navigation Links.
Analytical, Diagnostic and Therapeutic Techniques and Equipment
Diagnosis
Equipment and Supplies
Diagnostic Equipment
Biological Sciences
Environment and Public Health
Public Health
Disease Transmission
Disease Vectors
Diseases
Animal Diseases
Parasitic Diseases, Animal
Protozoan Infections, Animal
Babesiosis
Parasitic Diseases
Parasitic Diseases, Animal
Babesiosis
Protozoan Infections, Animal
Babesiosis
Protozoan Infections
Protozoan Infections, Animal
Babesiosis
Tick-Borne Diseases
Babesiosis
Organisms
Animals
Invertebrates
Arthropods
Arachnida
Acari
Ticks
Ixodidae
Ixodes
Protozoa
Apicomplexa
Coccidia
Copyright Restrictions: None - This image is in the public domain and thus free of any copyright restrictions.
PHIL Home

  •   My Pictures
  • What's New in PHIL
  • Specific Audience plus icon
    • Health Care Providers
    • Public Relations / Communications
    • Teachers & Trainers
    • Students
    • Photo Librarians & Researchers
    • Public Health Practitioners
    • Biomedical Researchers
    • Consumers
  • FAQs
  • Related Links
  • Contact Us
  • About
Search Links
  • Quick Search
  • Image ID Search
  • Advanced Search
  • Search Tips
Social_govd Get Email Updates

To receive email updates about this page, enter your email address:

What's this?
  • About CDC
  • Contact Us
  • 800-232-4636
Facebook Twitter Instagram LinkedIn Youtube Pinterest Snapchat RSS
  • Contact Us
    Call 800-232-4636
    Email Us
    • About CDC
    • Jobs
    • Funding
    • Accessibility
    • External Links
    • Privacy
    • Web Policies
    • FOIA
    • OIG
    • No Fear Act
    • Nondiscrimination
    • Vulnerability Disclosure Policy
    • CDC Archive
    • Public Health Publications
    • HHS.gov
    • USA.gov
    • Facebook
    • Twitter
    • Instagram
    • LinkedIn
    • Youtube
    • Pinterest
    • Snapchat
    • Email
    • Español
    • 繁體中文
    • Tiếng Việt
    • 한국어
    • Tagalog
    • Русский
    • العربية
    • Kreyòl Ayisyen
    • Français
    • Polski
    • Português
    • Italiano
    • Deutsch
    • 日本語
    • فارسی
    • English
  • Accessibility
  • External Links
  • Privacy
  • Web Policies
  • FOIA
  • OIG
  • No Fear Act
  • Nondiscrimination
  • Vulnerability Disclosure Policy
  • CDC Archive
  • Public Health Publications
  • HHS.gov
  • USA.gov