ID#: 16396
Caption:
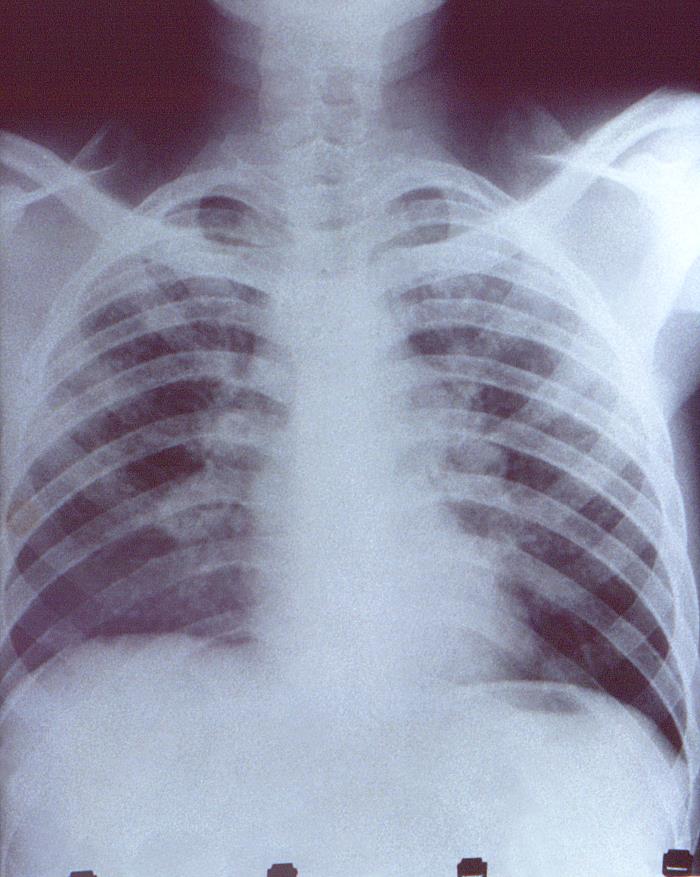
This anteroposterior (AP) chest x-ray revealed the presence of bilateral adenopathy, and bilateral infiltration in a patient with a case of cryptococcosis, due to the fungal organism of the genus, Cryptococcus.
High Resolution: Click here for hi-resolution image (15.16 MB)
Content Provider(s): CDC/ Dr. Lucille K. Georg
Creation Date: 1968
Photo Credit:
Links:
Categories:
CDC Organization
Skip Navigation Links.

MeSH
Skip Navigation Links.
Copyright Restrictions: None - This image is in the public domain and thus free of any copyright restrictions.