ID#: 19002
Caption:
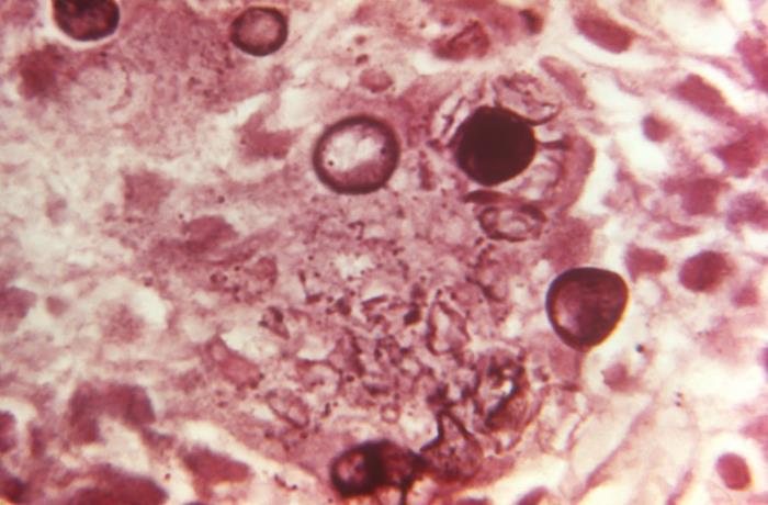
Under a magnification of 1000X, this photomicrograph of a specimen extracted from a South African cave, revealed the presence of the algal organism, Prototheca wickerhamii.
High Resolution: Click here for hi-resolution image (18.35 MB)
Content Provider(s): CDC
Creation Date: 1971
Photo Credit:
Links:
Categories:
CDC Organization
Skip Navigation Links.

MeSH
Skip Navigation Links.
Copyright Restrictions: None - This image is in the public domain and thus free of any copyright restrictions.