ID#: 20161
Caption:
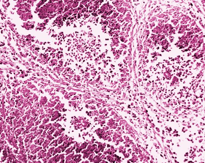
Under a magnification of 170X, this photomicrograph of a liver tissue specimen, revealed the presence of what are known as an asteroid bodies, each containing a number of Candida albicans fungal organisms, in the case of a male patient with systemic candidiasis.
High Resolution: Click here for hi-resolution image (22.05 MB)
Content Provider(s): CDC/ Dr. Kaplan
Creation Date: 1966
Photo Credit:
Links:
Categories:
CDC Organization
Skip Navigation Links.

MeSH
Skip Navigation Links.
Copyright Restrictions: None - This image is in the public domain and thus free of any copyright restrictions.