ID#: 2213
Caption:
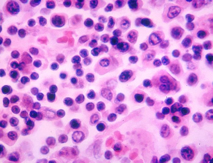
This photomicrograph reveals some of the histopathology exhibited in a lymph node tissue specimen, in a case of typhoid fever, caused by the bacterium, Salmonella typhi. You’ll note a large presence of macrophages amongst the normally present lymphocytes. These macrophages contain S. typhi bacteria, erythrocytes, and degenerated lymphocytes.
High Resolution: Click here for hi-resolution image (15.13 MB)
Content Provider(s): CDC/ Armed Forces Institute of Pathology, Charles N. Farmer
Creation Date: 1964
Photo Credit:
Links:
Categories:
CDC Organization
Skip Navigation Links.

MeSH
Skip Navigation Links.
Copyright Restrictions: None - This image is in the public domain and thus free of any copyright restrictions.