ID#: 22921
Caption:
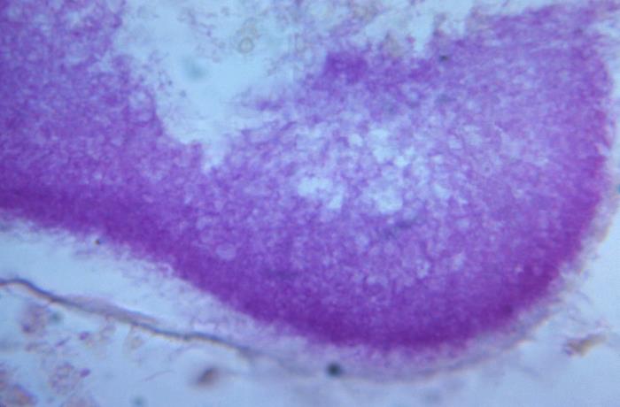
Under a magnification of 900X, this photomicrograph of a tissue specimen, excised from an actinomycotic mycetoma, and stained using the hematoxylin-eosin (H&E) method, revealed histopathologic changes, due to the organism, Nocardia madurae. See PHIL 22920, for another view of this specimen, under a lesser magnification.
High Resolution: Click here for hi-resolution image (18.34 MB)
Content Provider(s): CDC/ Dr. Hardin
Creation Date: 1965
Photo Credit:
Links:
Categories:
CDC Organization
Skip Navigation Links.

MeSH
Skip Navigation Links.
Copyright Restrictions: None - This image is in the public domain and thus free of any copyright restrictions.