ID#: 22997
Caption:
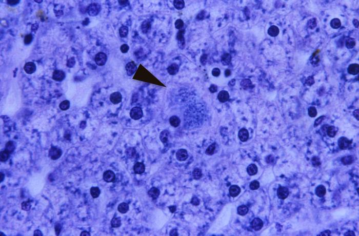
Under a magnification of 500X, 4X greater than that seen in PHIL 22996, this photomicrograph of a rhesus monkey liver tissue specimen, revealed the presence of an enlarged hepatocyte (arrow), which had been infected by the parasitic organism, Plasmodium cynomolgi. The interior of the hepatocyte was occupied by numerous P. cynomolgi merozoites.
High Resolution: Click here for hi-resolution image (18.35 MB)
Content Provider(s): CDC/ Clinton Smith
Creation Date: 1965
Photo Credit:
Links:
Categories:
CDC Organization
Skip Navigation Links.

MeSH
Skip Navigation Links.
Copyright Restrictions: None - This image is in the public domain and thus free of any copyright restrictions.