ID#: 27113
Caption:
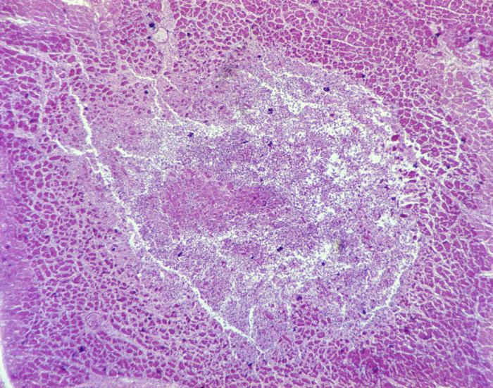
Under 52X magnification, this photomicrograph shows a cardiac muscle tissue specimen obtained from a patient with bacterial endocarditis. Visible is a lightly stained intramyocardial abscess containing necrotic cellular debris and numerous white blood cells, reflecting the acute infectious process affecting the heart muscle.
High Resolution: Click here for hi-resolution image (29.62 MB)
Content Provider(s): CDC/ Dr. Martin Hicklin
Creation Date: 1961
Photo Credit:
Links:
Categories:
CDC Organization
Skip Navigation Links.

MeSH
Skip Navigation Links.
Copyright Restrictions: None - This image is in the public domain and thus free of any copyright restrictions.