ID#: 2807
Caption:
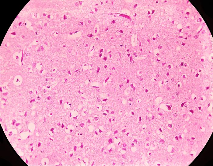
Under a magnification of 300X, this 1971 photomicrograph of a mouse brain tissue sample, reveals histopathologic changes indicative of neural necrosis and edema, after the mouse had succumbed to a case of Venezuelan equine encephalitis (VEE).
High Resolution: Click here for hi-resolution image (10.81 MB)
Content Provider(s): CDC/ Dr. F. A. Murphy
Creation Date: 1971
Photo Credit:
Links:
Categories:
CDC Organization
Skip Navigation Links.

MeSH
Skip Navigation Links.
Copyright Restrictions: None - This image is in the public domain and thus free of any copyright restrictions.