ID#: 3091
Caption:
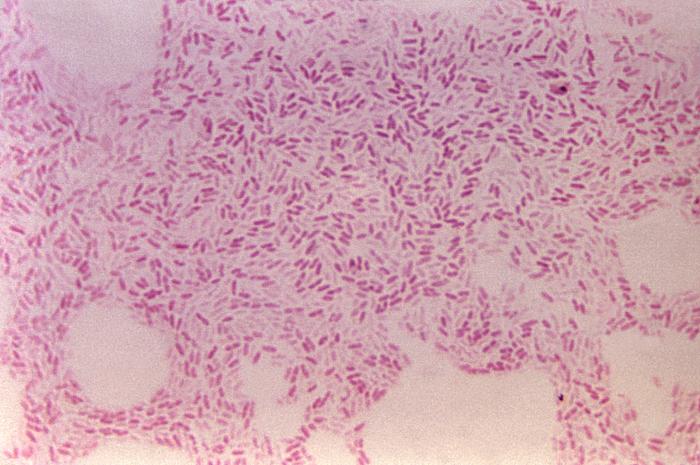
This photomicrograph depicts the Gram-negative bacterium, Bacteroides clostridiforme, which had been incubated in blood agar medium, for a 48 hour time period. Bacteroides spp., though commensal bacteria that normally live in the human gastrointestinal tract, these organisms can become pathogenic under circumstances such as disruption of the normal intestinal mucosa, including trauma, or surgery.
High Resolution: Click here for hi-resolution image (6.55 MB)
Content Provider(s): CDC/ Dr. V.R. Dowell, Jr.
Creation Date: 1972
Photo Credit:
Links:
Categories:
CDC Organization
Skip Navigation Links.

MeSH
Skip Navigation Links.
Copyright Restrictions: None - This image is in the public domain and thus free of any copyright restrictions.