ID#: 35
Caption:
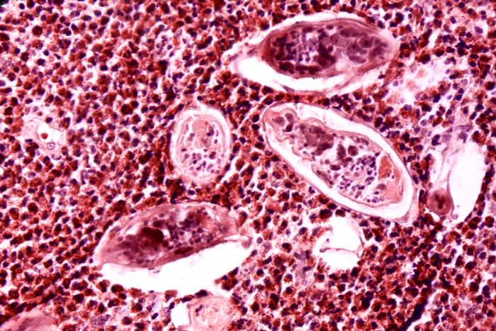
This photomicrograph depicts some of the histopathologic details seen in a bladder tissue specimen, in a case of schistosomiasis haematobium, also known as urinary blood fluke, caused by the parasitic flatworm, Schistosoma haematobium. Note the presence of clusters of S. haematobium ova, surrounded by intense eosinophilic infiltrates, and other inflammatory cells. For another view of this condition, at a lesser magnification, see PHIL 34.
High Resolution: Click here for hi-resolution image (6.59 MB)
Content Provider(s): CDC/ Dr. Edwin P. Ewing, Jr.
Creation Date: 1973
Photo Credit:
Links:
Categories:
CDC Organization
Skip Navigation Links.

MeSH
Skip Navigation Links.
Copyright Restrictions: None - This image is in the public domain and thus free of any copyright restrictions.