ID#: 3621
Caption:
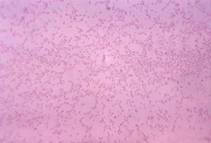
Under a magnification of 1125X, this photomicrograph of a Gram-stained specimen depicts numerous, Pasteurella multocida bacteria, the causative agent of fowl cholera, which is an infectious disease of poultry and other birds. Local wound infections from animal bites are the most common human infections caused by P multocida.
High Resolution: Click here for hi-resolution image (6.06 MB)
Content Provider(s): CDC/ Dr. R. Weaver
Creation Date: 1971
Photo Credit:
Links:
Categories:
CDC Organization
Skip Navigation Links.

MeSH
Skip Navigation Links.
Copyright Restrictions: None - This image is in the public domain and thus free of any copyright restrictions.