ID#: 3931
Caption:
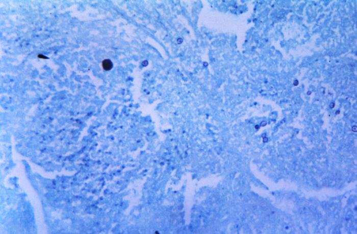
Under a low magnification, this is a photomicrograph of a methenamine silver stained, unidentified tissue sample, revealed the presence of spherules of the fungal organism, Coccidioides immitis, the cause of a disease known as coccidioidomycosis.
High Resolution: Click here for hi-resolution image (18.34 MB)
Content Provider(s): CDC/ Dr. Martin D. Hicklin
Creation Date: 1964
Photo Credit:
Links:
Categories:
CDC Organization
Skip Navigation Links.

MeSH
Skip Navigation Links.
Copyright Restrictions: None - This image is in the public domain and thus free of any copyright restrictions.