ID#: 3955
Caption:
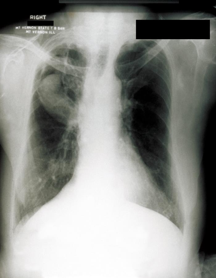
This image depicts an anteroposterior (AP) chest radiograph of a patient in Mount Vernon, Illinois, who had presented with a case of pulmonary histoplasmosis. Note the presence of a radiolucency in the patient’s right upper lobe, which was diagnosed as a probable aspergilloma, or fungus ball.
High Resolution: Click here for hi-resolution image (15.23 MB)
Content Provider(s): CDC/ M. Renz
Creation Date: 1963
Photo Credit:
Links:
Categories:
CDC Organization
Skip Navigation Links.

MeSH
Skip Navigation Links.
Copyright Restrictions: None - This image is in the public domain and thus free of any copyright restrictions.