ID#: 5521
Caption:
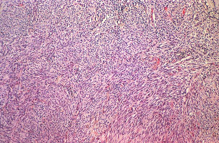
This photomicrograph of a human skin biopsy specimen, revealed the presence of histopathologic changes indicative of a case of Kaposi’s sarcoma (KS). The dermis contained a dense cellular infiltrate, and narrow slit-like vascular spaces that are characteristic in these KS lesions.
High Resolution: Click here for hi-resolution image (18.48 MB)
Content Provider(s): CDC/ Dr. Steve Kraus
Creation Date: 1980
Photo Credit:
Links:
Categories:
CDC Organization
Skip Navigation Links.

MeSH
Skip Navigation Links.
Copyright Restrictions: None - This image is in the public domain and thus free of any copyright restrictions.