ID#: 604
Caption:
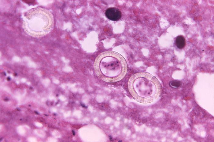
Under a high magnification, this photomicrograph revealed some of the ultrastructural details exhibited by eggs of the parasitic beef tapeworm, Taenia saginata in this appendiceal tissue specimen.
High Resolution: Click here for hi-resolution image (6.61 MB)
Content Provider(s): CDC
Creation Date: 1971
Photo Credit:
Links:
Categories:
CDC Organization
Skip Navigation Links.

MeSH
Skip Navigation Links.
Copyright Restrictions: None - This image is in the public domain and thus free of any copyright restrictions.