ID#: 68
Caption:
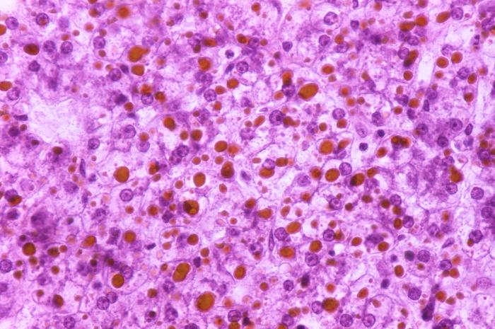
This photomicrograph revealed histopathologic changes found in a liver tissue autopsy specimen, from a child who died of Reye's syndrome. The hepatocytes, or liver cells, are seen as pale staining, due to the accumulation of intracellular fat droplets. The tissue section was harvested from a frozen section, stained using the Oil Red O, and hematoxylin technique, which highlighted the intracellular fat globules.
High Resolution: Click here for hi-resolution image (6.51 MB)
Content Provider(s): CDC/ Dr. Edwin P. Ewing, Jr.
Creation Date: 1972
Photo Credit:
Links:
Categories:
CDC Organization
Skip Navigation Links.

MeSH
Skip Navigation Links.
Copyright Restrictions: None - This image is in the public domain and thus free of any copyright restrictions.