ID#: 8745
Caption:
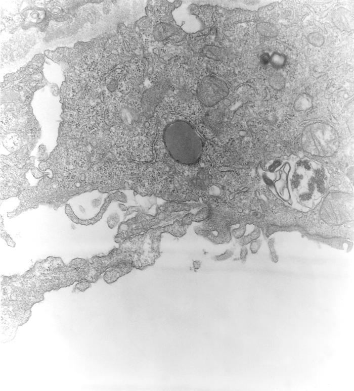
This 1976 transmission electron microscopic (TEM) image depicted a hypertrophic peritoneal mesothelial cell from a mouse that had been experimentally infected with Orientia tsutsugamushi rickettsial micro-organisms. A disintegrating organism can be seen within one of its host cell's phagocytic vacuole. Formerly known as Rickettsia tsutsugamushi, O. tsutsugamushi is the pathogen responsible for causing the febrile disease known as scrub typhus. The disease is transmitted to humans through the bite of larval trombiculid mites, i.e., chiggers, that had fed on infected rodents.
High Resolution: Click here for hi-resolution image (4.35 MB)
Content Provider(s): CDC/ Dr. Ed Ewing
Creation Date: 1976
Photo Credit:
Links:
Categories:
CDC Organization
Skip Navigation Links.

MeSH
Skip Navigation Links.
Copyright Restrictions: None - This image is in the public domain and thus free of any copyright restrictions.