ID#: 925
Caption:
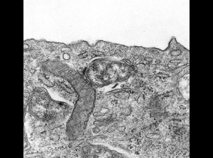
This transmission electron microscopic (TEM) image depicts an Orientia tsutsugamushi bacterium, formerly known as Rickettsia tsutsugamushi, within what remained of a phagocytic vacuole inside a mouse peritoneal mesothelial cell. The phagosomal membrane was in the process of disintegrating. To the far left is a rickettsia bacterium, which was free within the host cell cytoplasm. Between these two rickettsial organisms was a mitochondrion.
High Resolution: High resolution download is not available for this image
Content Provider(s): CDC/ Dr. Edwin P. Ewing, Jr.
Creation Date: 1976
Photo Credit:
Links:
Categories:
CDC Organization
Skip Navigation Links.

MeSH
Skip Navigation Links.
Copyright Restrictions: None - This image is in the public domain and thus free of any copyright restrictions.